Клетка (далее по тексту — «К.») — это элементарная живая система, способная к самостоятельному существованию, самовоспроизведению и развитию; основа строения и жизнедеятельности всех животных и растений. К. существуют и как самостоятельные организмы (простейшие), и в составе многоклеточных организмов (тканевые К.). Термин «Клетка» был предложен английским микроскопистом Робертом Гуком (англ. Robert Hooke; Роберт Хук, 18 июля 1635, остров Уайт, Англия — 3 марта 1703, Лондон).
Рис. 1. Строение клетки:
(нажмите на картинку для увеличения)
К. — предмет изучения особого раздела биологии — цитологии. Систематическое изучение К. началось лишь в 19 веке. Одним из крупнейших научных обобщений того времени была клеточная теория, утверждавшая единство строения всей живой природы. Изучение жизни на клеточном уровне лежит в основе современных биологических исследований.
В строении и функциях каждой клетки обнаруживаются признаки, общие для всех К., что отражает единство их происхождения из первичных органических комплексов. Частные особенности различных К. — результат их специализации в процессе эволюции. Так, все К. сходно регулируют обмен веществ, удваивают и используют свой наследственный материал, получают и утилизируют энергию. В то же время разные одноклеточные организмы (амёбы, инфузории и т.д.) сильно различаются размерами, формой, поведением. Не менее резко различаются К. многоклеточных организмов. Так, у человека имеются лимфоидные К. — небольшие (диаметром около 10 мкм) округлые К., участвующие в иммунологических реакциях, и нервные К., часть которых имеет отростки длиной более метра; эти К. осуществляют основные регуляторные функции в организме.
Рис. 2. Обмен веществ в клетке
(нажмите на картинку для увеличения)
Методы исследования клеток
Первым цитологическим методом была микроскопия живых клеток. Современные варианты прижизненной (витальной) световой микроскопии — фазово-контрастная, люминесцентная, интерференционная и др. — позволяют изучать форму К. и общее строение некоторых её структур, движение К. и их деление. Детали строения клеток обнаруживаются лишь после специального контрастирования, что достигается окраской убитой К. Новый этап изучения структуры К. — электронная микроскопия, дающая значительно большее разрешение структур К. по сравнению со световой микроскопией (разрешающая способность оптических приборов).
Химический состав клеток изучается цито- и гистохимическими методами, позволяющими выяснить локализацию и концентрацию веществ в клеточных структурах, интенсивность синтеза веществ и их перемещение в К. Цитофизиологические методы позволяют изучать функции К., например возбуждение, секрецию.
Общие свойства клеток
В каждой К. различают две основные части — Ядро и цитоплазму (См. Цитоплазма), в которых, в свою очередь, можно выделить структуры, различающиеся по форме, размерам, внутреннему строению, химическим свойствам и функциям. Одни из них — так называемые органоиды — жизненно необходимы К. и обнаруживаются во всех К. Другие — продукты активности К., представляющие временные образования. В специализированных структурах осуществляется разделение различных биохимических функций, что способствует осуществлению в одной и той же К. разнородных процессов, включающих синтез и распад многих веществ.
В ядерных органоидах — хромосомах (См. Хромосомы), в их основном компоненте — ДНК, хранится генетическая информация о строении белков, свойственных организму определённого вида. Другое важнейшее свойство ДНК — способность к самовоспроизведению, что обеспечивает как стабильность наследственной информации, так и её непрерывность — передачу следующим поколениям. На ограниченных участках ДНК, охватывающих несколько генов, как на матрицах, синтезируются рибонуклеиновые кислоты — непосредственные участники синтеза белка. Перенос (транскрипция) кода ДНК происходит при синтезе информационных РНК (и-РНК).
Синтез белка представляется как считывание информации с матрицы РНК. В этом процессе, называемом трансляцией, принимают участие транспортные РНК (т-РНК) и специальные органоиды — рибосомы, образующиеся в ядрышке. Размеры ядрышка определяются главным образом потребностью клеток в рибосомах; поэтому особенно велико оно в К., интенсивно синтезирующих белок. Синтез белка — конечный итог реализации функций хромосом — осуществляется главным образом в цитоплазме.
Белки — ферменты, детали структур и регуляторы разных процессов, включая и транскрипцию — определяют в конечном счёте все стороны жизни К., позволяя клеткам сохранять свою индивидуальность, несмотря на постоянно меняющееся окружение. Если в бактериальной К. синтезируется около 1000 разных белков, то почти в каждой из К. человека — свыше 10000. Таким образом, разнообразие внутриклеточных процессов в ходе эволюции организмов существенно возрастает. Оболочка ядра, отделяющая его содержимое от цитоплазмы, состоит из двух мембран, пронизанных порами — специализированных участков для транспорта некоторых соединений из ядра в цитоплазму и обратно. Другие вещества проходят через мембраны путём диффузии или активного транспорта, требующего затрат энергии.
Многие процессы происходят в цитоплазме К. при участии мембран эндоплазматической сети — основной синтезирующей системы К., а также Гольджи комплекса и митохондрий. Отличия мембран разных органоидов определяются свойствами образующих их белков и липидов. К некоторым мембранам эндоплазматической сети прикреплены рибосомы; здесь происходит интенсивный синтез белка. Такая гранулярная эндоплазматическая сеть особенно развита в К., секретирующих или интенсивно обновляющих белок, например у человека в К. печени, поджелудочной железы, нервных К. В состав других биологических мембран, лишённых рибосом (гладкоконтурная сеть), входят ферменты, участвующие в синтезе углеводно-белковых и липидных комплексов.
В каналах эндоплазматической сети могут временно накапливаться продукты деятельности клетки. В некоторых К. по каналам происходит направленный транспорт веществ. Перед выведением из К. вещества концентрируются в пластинчатом комплексе (комплексе гольджи). Здесь обособляются различные включения К., например секреторные или пигментные гранулы, образуются лизосомы — пузырьки, содержащие гидролитические ферменты и участвующие во внутриклеточном переваривании многих веществ. Система окруженных мембранами каналов, вакуолей и пузырьков представляет одно целое. Так, эндоплазматическая сеть может без перерыва переходить в мембраны, окружающие ядро, соединяться с цитоплазматической мембраной, формировать комплекс Гольджи. Однако связи эти нестабильны. Нередко, а во многих клетках обычно разные мембранные структуры разобщены и обмениваются веществами через гиалоплазму.
Энергетика клетки во многом зависит от работы митохондрий. Число их колеблется в К. разного типа от десятков до тысяч. Например, в печёночной К. человека около 2 тысяч митохондрий; их общий объём не менее 1/5 объёма К. Внешняя мембрана митохондрии отграничивает её от цитоплазмы, на внутренней — происходят основные энергетические превращения веществ, в результате которых образуется соединение, богатое энергией, — аденозинтрифосфорная кислота (АТФ) — универсальный переносчик энергии в К.
Митохондрии содержат ДНК и способны к самовоспроизведению; однако автономность митохондрий относительна, их репродукция и деятельность зависят от ядра. За счет энергии АТФ в К. осуществляются различные синтезы, транспорт и выделение веществ, механическая работа, регуляция процессов и т.д. В делении клеток и иногда в их движении участвуют структуры, имеющие вид трубочек субмикроскопических размеров. «Сборка» таких структур и их функционирование зависят от центриолей, при участии которых организуется веретено деления клетки, с чем связано перемещение хромосом и ориентация оси деления К. Базальные тельца — производные центриолей — необходимы для построения и нормальной работы жгутиков и ресничек — локомоторных и чувствительных образований К., строение которых у простейших и в различных К. многоклеточных однотипно.
От внеклеточной среды клетка отделена плазматической мембраной, через которую происходит поступление ионов и молекул в К. и выделение их из К. Отношение поверхности К. к ее объему уменьшается с увеличением объема, и чем крупнее К., тем более затруднены ее связи с внешней средой. Величина К. не может быть особенно большой. Для живых К. характерен активный транспорт ионов, требующий затраты энергии, специальных ферментов и, возможно, переносчиков. Благодаря активному и избирательному переносу в клетках одних ионов и непрерывному удалению из нее других создается разность концентраций ионов в К. и окружающей среде. Этот эффект может быть обусловлен и связыванием ионов компонентами К. Многие ионы необходимы как активаторы внутриклеточных синтезов и как стабилизаторы структуры органоидов.
Обратимые изменения соотношения ионов в клетке и среде лежат в основе биоэлектрической активности К. — одного из важных факторов передачи сигналов от одной К. к другой (биоэлектрические потенциалы). Образуя впячивания, которые затем замыкаются и отделяются в виде пузырьков внутрь К., плазматическая мембрана способна захватывать растворы крупных молекул (пиноцитоз) или даже отдельные частицы величиной в несколько мкм (фагоцитоз). Так осуществляется питание некоторых К., перенос веществ через К., захват бактерий фагоцитами. Со свойствами плазматической мембраны связаны и силы сцепления, удерживающие во многих случаях К. друг около друга, например в покровах тела или внутренних органах.
Сцепление и связь клеток обеспечиваются химическим взаимодействием мембран и специальными структурами мембраны — десмосомами.
Рассмотренная в общей форме схема строения клетки свойственна в основных чертах как животным, так и растительным клеткам. Но есть и существенные отличия в особенностях метаболизма и строения растительных К. от животных.
Рис. 3. Разнообразие животных и растительных клеток:
(нажмите на картинку для увеличения)
1 — клетка печени аксолотля, в цитоплазме — красные митохондрии и фиолетовые белковые включения, в ядре — красное ядрышко и синие глыбки хроматина; 2 — хроматофор аксолотля, заполненный гранулами пигмента; 3 — эритроциты лягушки; 4 — клетка Пуркине мозжечка крысы; 5 — клетка водоросли спирогиры.
Клетки растений
Поверх плазматической мембраны растительные клетки покрыты, как правило, твёрдой внешней оболочкой (она может отсутствовать лишь у половых К.), состоящей у большинства растений главным образом из полисахаридов: целлюлозы, пектиновых веществ и гемицеллюлоз, а у грибов и некоторых водорослей — из хитина. Оболочки снабжены порами, через которые с помощью выростов цитоплазмы соседние К. связаны друг с другом. Состав и строение оболочки меняются по мере роста и развития К. Часто у клеток, прекративших рост, оболочка пропитывается лигнином, кремнезёмом или другим веществом, которое делает её более прочной.
Оболочки К. определяют механические свойства растения. К. некоторых растительных тканей отличаются особенно толстыми и прочными стенками, сохраняющими свои скелетные функции после гибели К. Дифференцированные растительные К. имеют несколько вакуолей или одну центральную вакуоль, занимающую обычно большую часть объёма К. Содержимое вакуолей — раствор различных солей, углеводов, органических кислот, алкалоидов, аминокислот, белков, а также запас воды. В вакуолях могут откладываться питательные вещества.
В цитоплазме растительной клетки имеются специальные органоиды — пластиды; лейкопласты (в них часто откладывается крахмал), хлоропласты (содержат преимущественно хлорофилл и осуществляют фотосинтез) и хромопласты (содержат пигменты из группы каротиноидов). Пластиды, как и митохондрии, способны к самовоспроизведению. Комплекс Гольджи в растительной К. представлен рассеянными по цитоплазме диктиосомами.
Рис. 4. Внутреннее строение растительной клетки
(нажмите на картинку для увеличения)
Рис. 5. Схема строения клетки образовательной ткани (меристемы) растения:
(нажмите на картинку для увеличения)
1 — клеточная стенка; 2 — плазмодесмы; 3 — плазматическая мембрана; 4 — эндоплазматическая сеть; 5 — вакуоли; 6 — рибосомы; 7 — митохондрии; 8 — пластида; 9 — комплекс Гольджи; 10 — оболочка ядра; 11 — поры в ядерной оболочке; 12 — хроматин; 13 — ядрышко.
Одноклеточные организмы
В строении и функциях одноклеточных, или простейших, черты, свойственные любой клетке, сочетаются с признаками самостоятельных организмов. Так, у простейших такой же набор органоидов, как и у К. многоклеточных; идентично и ультрастроение их органоидов; при делении простейших в них обнаруживаются типичные хромосомы. Однако приспособление простейших к разным средам обитания (водной или наземной, к свободному или паразитическому существованию) обусловило существенное разнообразие их строения и физиологии. Многие простейшие (жгутиковые, инфузории) обладают сложным двигательным аппаратом и имеют органеллы, связанные с захватом пищи и пищеварением.
Изучение простейших представляет большой интерес для выяснения филогенетических возможностей клеток: эволюционные изменения организма протекают у них на клеточном уровне. В отличие от простейших и К. многоклеточных организмов, бактерии, синезеленые водоросли, актиномицеты не имеют оформленного ядра и хромосом. Их генетический аппарат, называется нуклеоидом, представлен нитями ДНК и не окружен оболочкой.
Еще более отличаются от клеток многоклеточных организмов и от простейших вирусы, у которых отсутствуют основные, необходимые для обмена веществ ферменты. Поэтому вирусы могут расти и размножаться, лишь проникая в К. и используя их ферментные системы.
Рис. 6. Разнообразие животных и растительных клеток:
(нажмите на картинку для увеличения)
1 — клетки почки лягушки, видны митохондрии; 2 — чувствительная клетка спинномозгового ганглия человека, виден комплекс Гольджи; 3 — мегакариоцит из костного мозга человека; 4 — жировая клетка из подкожной клетчатки крысы; 5 — клетки поджелудочной железы человека, видны комплекс Гольджи и секреторные гранулы; 6 — нейтрофильный лейкоцит человека; 7 — гладкая мышечная клетка кишечника человека; 8 — тучные клетки в рыхлой соединительной ткани крысы; 9 — эритроциты человека; 10 — эритроциты верблюда; 11 — малая и большая пирамидальные клетки коры головного мозга человека; 12 — эритроциты курицы; 13 — клетка волоска тычиночной нити традесканции; 14 — клетки листа элодеи; 15 — клетка плода ландыша; 16 — эритроциты свиньи.
Специальные функции клеток
В процессе эволюции многоклеточных возникло разделение функций между клетками, что привело к расширению возможностей приспособления животных и растений к меняющимся условиям среды. Закрепившиеся наследственно различия в форме К., их размерах и некоторых сторонах метаболизма реализуются в процессе индивидуального развития организма. Основное проявление развития — дифференцировка К., их структурная и функциональная специализация.
Дифференцированные клетки имеют такой же набор хромосом, как и оплодотворенная яйцеклетка. Это доказывается пересадкой ядра дифференцированной К. в предварительно лишенную ядра яйцеклетку, после чего может развиваться полноценный организм. Таким образом, различия между дифференцированными К., по-видимому, обусловливаются разными соотношениями активных и неактивных генов, каждый из которых кодирует биосинтез определённого белка.
Судя по составу белков, в дифференцированных К. активна (способна к транскрипции) лишь небольшая часть (порядка 10%) генов, свойственных К. данного вида организмов. Среди них лишь немногие ответственны за специальную функцию К., а остальные обеспечивают общеклеточные функции. Так, в мышечных клетках активны гены, кодирующие структуру сократимых белков, в эритроидных К. — гены, кодирующие биосинтез гемоглобина, и т.д. Однако в каждой К. должны быть активны гены, определяющие биосинтез веществ и структур, необходимых для всех К., например ферментов, участвующих в энергетических превращениях веществ.
В процессе специализации К. отдельные общеклеточные функции их могут развиваться особенно сильно. Так, в железистых К. более всего выражена синтетическая активность, мышечные — наиболее сократимы, нервные — наиболее возбудимы. В узкоспециализированных клетках обнаруживаются структуры, характерные лишь для этих К. (например, у животных — миофибриллы мышц, тонофибриллы и реснички некоторых покровных К., нейрофибриллы нервных К., жгутики у простейших или у сперматозоидов многоклеточных организмов). Иногда специализация сопровождается утратой некоторых свойств (например, нервные К. утрачивают способность к размножению; ядра К. кишечного эпителия млекопитающих не могут в зрелом состоянии синтезировать РНК; зрелые эритроциты млекопитающих лишены ядра).
Выполнение важных для организма функций включает иногда гибель клеток. Так, К. эпидермиса кожи[en] постепенно ороговевают и гибнут, но остаются некоторое время в пласте, предохраняя подлежащие ткани от повреждения и инфекции. В сальных железах К. постепенно превращаются в капли жира, который используется организмом или выделяется.
Для выполнения некоторых тканевых функций К. образуют неклеточные структуры. Основные пути их образования — секреция или превращения компонентов цитоплазмы. Так, значительная по объёму часть подкожной клетчатки, хряща и кости составляет межуточное вещество — производное К. соединительной ткани. Клетки крови обитают в жидкой среде (плазме крови[en]), содержащей белки, сахара и другие вещества, вырабатываемые разными клетками организма.
Клетки эпителия, образующие пласт, окружены тонкой прослойкой диффузно распределённых веществ, главным образом гликопротеидов (так называемый цемент, или надмембранный компонент). Внешние покровы членистоногих и раковины моллюсков — также продукты выделения К.
Взаимодействие специализированных клеток — необходимое условие жизни организма и нередко самих этих К. (гистология). Лишённые связей друг с другом, например в культуре, К. быстро утрачивают особенности присущих им специальных функций.
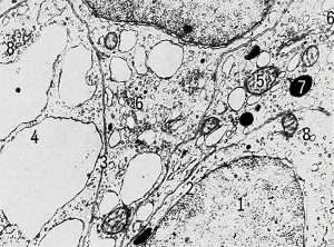
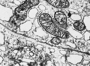
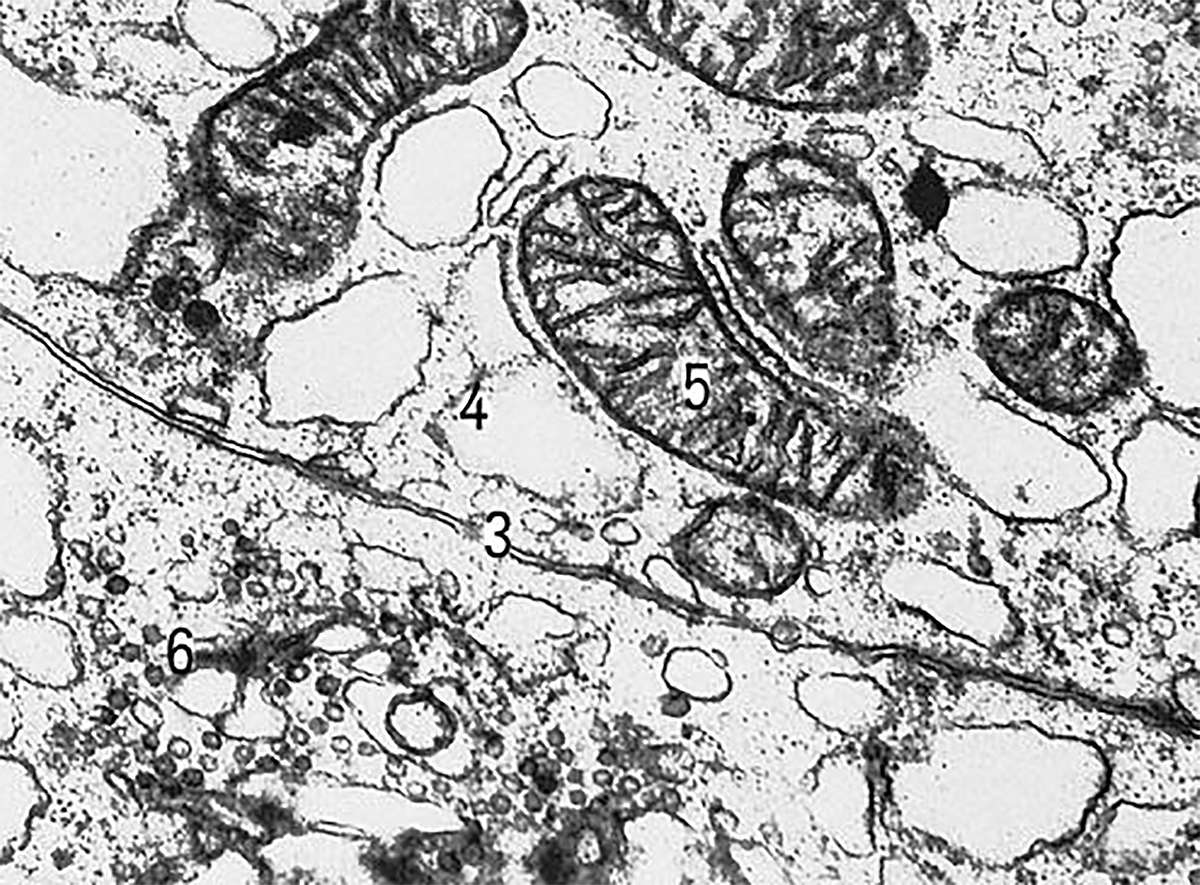
Рис. 7. Общий вид эпителиальной клетки животного при различном увеличении:
(нажмите на картинку для увеличения)
а — в оптический микроскоп; б — при малом увеличении электронного микроскопа; в — при большом увеличении.
Структуры ядра: 1 — ядрышко; 2 — хроматин (участки хромосом); 3 — ядерная оболочка.
Структуры цитоплазмы: 4 — рибосомы; 5 — гранулярная (покрытая рибосомами) эндоплазматическая сеть; 6 — гладкоконтурная сеть; 7 — комплекс Гольджи; 8 — митохондрии; 9 — мультивезикулярные (многопузырьковые) тела; 10 — секреторные гранулы; 11 — жировые включения; 12 — плазматическая мембрана; 13 — десмосома.
Деление клеток
В основе способности клеток к самовоспроизведению лежат уникальное свойство ДНК самокопироваться и строго равноценное деление репродуцированных хромосом в процессе митоза. В результате деления образуются две клетки, идентичные исходной по генетическим свойствам и с обновленным составом ядра и цитоплазмы. Процессы самовоспроизведения хромосом, их деления, образования двух ядер и деления цитоплазмы разделены во времени, составляя в совокупности митотический цикл К. В случае, если после деления К. начинает готовиться к следующему делению, митотический цикл совпадает с жизненным циклом К. Однако во многих случаях после деления (а иногда перед ним) К. выходят из митотического цикла, дифференцируются и выполняют в организме ту или иную специальную функцию. Состав таких К. может обновляться за счёт делений малодифференцированных К. В некоторых тканях и дифференцированные К. способны повторно входить в митотический цикл.
В нервной ткани дифференцированные клетки не делятся; многие из них живут так же долго, как организм в целом, то есть у человека — несколько десятков лет. При этом ядра нервных К. не утрачивают способности к делению: будучи пересажены в цитоплазму раковых клеток, ядра нейронов синтезируют ДНК и делятся. Опыты с клетками-гибридами показывают влияние цитоплазмы на проявление ядерных функций. Неполноценная подготовка к делению предотвращает митоз или искажает его течение. Так, в некоторых случаях не происходит деления цитоплазмы и образуется двуядерная К. Многократное деление ядер в неделящейся К. приводит к появлению многоядерных К. или сложных надклеточных структур (симпластов), например в поперечнополосатых мышцах.
Иногда репродукция клеток ограничивается воспроизведением хромосом, и образуется полиплоидная К., имеющая удвоенный (сравнительно с исходной К.) набор хромосом. Полиплоидизация приводит к усилению синтетической активности, увеличению размеров и массы К.
Рис. 8. Разнообразие клеток высших растений:
(нажмите на картинку для увеличения)
а, б — меристематические клетки; в — крахмалоносная клетка из запасающей паренхимы; г — клетка эпидермиса; д — двуядерная клетка секреторного слоя пыльцевого гнезда; е — клетка ассимиляционной ткани листа с хлоропластами; ж — членик ситовидной трубки с клеткой-спутницей; з — каменистая клетка; и — членик сосуда.
Обновление клеток
Для длительной работы каждой клетке необходимо восстановление изнашиваемых структур, как и ликвидация повреждений К., вызванных внешними воздействиями. Восстановительные процессы, характерные для всех К., связаны с изменениями проницаемости плазматической мембраны и сопровождаются усилением внутриклеточных синтезов, в первую очередь синтеза белка. Во многих тканях стимуляция восстановительных процессов приводит к репродукции генетического аппарата и делению К.; это свойственно, например покровам или кроветворной системе. Процессы внутриклеточного обновления в этих тканях выражены слабо, их К. живут сравнительно недолго (например, К. кишечного покрова млекопитающих — всего несколько суток). Максимальной выраженности внутриклеточные восстановительные процессы достигают в неделящихся или слабоделящихся клеточных популяциях, например в нервных клетках. Показателем совершенства процессов внутреннего обновления К. является длительность их жизни; для многих нервных К. она совпадает с продолжительностью жизни всего организма.
Рис. 9. Клетки щитовидной железы крысы с включениями (увеличено в 18000 раз):
(нажмите на картинку для увеличения)
Условные обозначения: 1 — ядро, 2 — ядерная оболочка, 3 — клеточная оболочка, 4 — эндоплазматическая сеть, 5 — митохондрии, 6 — комплекс Гольджи, 7 — плотные тела, 8 — рибосомы.
Мутации клеток
Обычно процесс воспроизведения ДНК происходит без отклонений, и генетический код остаётся постоянным, что обеспечивает синтез одного и того же набора белков в огромном числе клеточных поколений. Однако в редких случаях может произойти мутация — частичное изменение структуры гена. Конечный её эффект — изменение свойств белков, кодируемых мутантными генами. Если при этом затрагиваются важные ферментные системы, свойства клетки, а иногда и всего организма существенно изменяются. Так, мутация одного из генов, контролирующих синтез гемоглобина, приводит к тяжелому заболеванию — анемии. Естественный отбор полезных мутаций — важный механизм эволюции.
Рис. 10. Специализированная форма мембран (пористые пластинки) в цитоплазме созревающей яйцеклетки севрюги (увеличено в 35000 раз):
(нажмите на картинку для увеличения)
Условные обозначения: 5 — митохондрии, 9 — пористые пластинки.
Регуляция функций клеток
Основной механизм регуляции внутриклеточных процессов связан с различными влияниями на ферменты — высоко специфичные катализаторы биохимических реакций. Регуляция может осуществляться на генетическом уровне, когда определяется состав ферментов или количество того или иного фермента в К. В последнем случае регуляция может происходить и на уровне трансляции. Другой тип регуляции — воздействие на сам фермент, в результате чего может происходить как торможение, так и стимуляция его активности. Структурный уровень регуляции — влияние на сборку клеточных структур: мембран, рибосом и т.д. Конкретными регуляторами внутриклеточных процессов могут быть нервные влияния, гормоны, специальные вещества, вырабатываемые внутри К. либо окружающими клетками (особенно белки), или же сами продукты реакций. В последнем случае воздействие осуществляется по принципу обратной связи, когда продукт реакции влияет на активность фермента — катализатора этой реакции. Регуляция может осуществляться через транспорт предшественников и ионов, влияния на матричный синтез (РНК, полисомы, ферменты синтеза), изменение формы регулируемого фермента.
Организация и регуляция функций клетки на молекулярном уровне определяют такие свойства живых систем, как пространственная компактность и энергетическая экономичность. Важное свойство многоклеточных организмов — надёжность — во многом зависит от множественности (взаимозаменяемости) К. каждого функционального типа, а также от возможности их замены в результате размножения К. и обновления компонентов каждой К.
В медицине используются воздействия на клетки для лечения и предупреждения заболеваний. Многие лекарственные вещества изменяют активность определенных К. Так, наркотики, транквилизаторы и болеутоляющие вещества снижают интенсивность деятельности нервных К., а стимуляторы её усиливают. Некоторые вещества стимулируют сокращение мышечных К. сосудов, другие — матки или сердца[en]. Специальные воздействия на делящиеся К. осуществляются при использовании радиации или цитостатических веществ, блокирующих деление К. Иммунизация стимулирует деятельность лимфоидных клеток, вырабатывающих антитела к чужеродным белкам, предупреждая тем самым многие заболевания[en]. (В. Я. Бродский)
Рис. 11. Поперечный срез мышечных клеток саранчи (увеличено в 54000 раз):
(нажмите на картинку для увеличения)
Условные обозначения: 5 — митохондрии, 10 — миофибриллы.
Рис. 12. Участки двух клеток щитовидной железы крысы (увеличено в 30000 раз):
(нажмите на картинку для увеличения)
Условные обозначения: 3 — клеточная оболочка, 4 — эндоплазматическая сеть, 5 — митохондрии, 6 — комплекс Гольджи.
Подробнее о клетках читайте в литературе:
- Николай Константинович Кольцов., Организация клетки, М. — Л., 1936;
- Эдмунд Вильсон., Клетка и её роль в развитии и наследственности, перевод с английского, т. 1 — 2, М. — Л., 1936 — 1940;
- Дмитрий Николаевич Насонов и Владимир Яковлевич Александров., Реакция живого вещества на внешние воздействия, М. — Л., 1940;
- Борис Васильевич Кедровский., Цитология белковых синтезов в животной клетке, Москва, 1959;
- Мэзия Д., Митоз и физиология клеточного деления, пер. с англ., М., 1963;
- Руководство по цитологии, т. 1 — 2, М. — Л., 1965 — 66;
- Всеволод Яковлевич Бродский., Трофика клетки, М., 1966;
- Живая клетка, [Сборник статей], перевод с английского, М., 1966;
- Де Робертис Э., Новинский В., Саэс Ф., Биология клетки, пер. с англ., М., 1967;
- Юрий Маркович Васильев и Андрей Георгиевич Маленков., Клеточная поверхность и реакции клеток, Л., 1968;
- Иосиф Александрович Алов, Брауде А. И., Аспиз М. Е., Основы функциональной морфологии клетки, 2 издание, М., 1969;
- Лёви А., Сикевиц Ф., Структура и функции клетки, пер. с англ., М., 1971;
- Handbook of molecular cytology, ed. A. Lima-de-Faria, Amst., 1969.












За какое время обновляется наш организм
Человеческое тело – это сложнейшая живая машина, в которой слаженно, как единое целое, функционируют различные системы. Все части организма состоят из клеток, которых в теле взрослого человека около 100 триллионов. Часть этих клеток постоянно отмирает, а их места занимают новые. Для разных органов и тканей организма человека цикл полного обновления занимает неодинаковое количество времени. И для многих клеток нашего организма этот срок определен уже более или менее точно. И даже если по паспорту ваш возраст равняется, к примеру, 35 годам, то вашей коже может быть от роду всего две недели, скелету 10 лет, а хрусталики ваших глаз примерно ваши ровесники.
Клетки кожи
Полное замещение клеток эпителия происходит за 14 дней. Клетки кожи формируются в глубоких слоях дермы, постепенно выходят на поверхность и заменяют старые клетки, которые отмирают и отшелушиваются. За один год наш организм продуцирует около двух миллиардов новых клеток кожи.
Клетки мускулатуры
Скелетная мышечная ткань полностью обновляется с периодичностью 15-16 лет. На скорость обновления клеток влияет возраст человека – чем старше мы становимся, тем медленнее происходит этот процесс.
Скелет
7-10 лет – вот время, за которое происходит полное клеточное обновление костной ткани. В структуре скелета одновременно функционируют и старые и молодые клетки. При этом неправильное несбалансированное питание может повлиять в худшую сторону на качество новых клеток, вызывая многочисленные осложнения. Ежедневно костная ткань вырабатывает сотни миллионов новых клеток.
Клетки крови
Полное обновление клеток крови занимает от 120 до 150 дней. Организм здорового человека ежедневно продуцирует столько же клеток крови, сколько их погибает, а это число равно около 500 миллиардам клеток, имеющим разное назначение.
Желудок
Клетки эпителия желудка, которые фильтруют питательные вещества внутрь организма, заменяются очень быстро – всего в течение 3-5 дней. Это необходимо, так как эти клетки подвержены воздействию крайне агрессивной среды – желудочному соку и ферментам, отвечающим за переработку пищи.
Кишечник
Если не заострять внимание на клетках эпителия кишечника, которые заменяются каждые 5 дней, средний возраст кишечника будет равняться примерно 15-16 годам.
Печень
Ее клетки полностью обновляются всего за 300-500 дней. Удивительно, что при потере 75% клеток печени, она способна регенерировать полный объем всего за 3-4 месяца. Поэтому здоровому человеку можно, особо не опасаясь за свое здоровье, пересадить часть своей печени нуждающемуся – она снова разрастется.
Сердце
В течение долгого времени предполагалось, что клетки миокарда (сердечной мышечной ткани) вообще не обновляются. Но недавние исследования показали, что полное обновление сердечной мускулатуры происходит примерно раз в 20 лет.
Зрение
Сам хрусталик и клетки мозга, ответственные за обработку зрительной информации, имеют тот же возраст, что и человек. Регенерируются и обновляются лишь клетки роговицы глаза. При этом полное обновление роговицы происходит довольно-таки быстро – весь цикл занимает 7-10 дней.
Мозг
Гиппокамп – участок мозга, который отвечает за обучение и память, и обонятельная луковица регулярно обновляют свои клетки. Причем, чем выше физическая и мозговая активность, тем чаще образуются новые нейроны в этих участках.